循環器内科

診察は木・土曜日に行っています。
循環器内科では、心臓の病気はもちろん、糖尿病や高血圧症なども含め、きめ細かな検査・診察を行っています。
診療内容
心臓疾患について
心筋に栄養と酸素を送る血管を冠動脈といいます。狭心症や心筋梗塞などの心臓の病気は、この冠動脈が狭窄したり詰まったりすると引き起こされます。代表的な心臓疾患として、下記の4つが心配されます。
・狭心症 ・心筋梗塞 ・不整脈 ・生活習慣病(高血圧/脂質異常症/糖尿病)
当クリニックの循環器内科では、これら主要な病気の早期発見・改善・治療の為の診察、検査を行なっております。
検査項目
冠動脈CT検査
狭心症や心筋梗塞などの虚血性心疾患の原因は、心臓の筋肉に血液を供給する「冠動脈」の動脈硬化です。最新のマルチスライスCT(128スライス)を使用して「冠動脈」を評価する事で、突然死の一因である心筋梗塞などを未然に防ぎます。
「冠動脈」の評価は従来カテーテル検査で行われてきましたが、近年より冠動脈CT検査が多く行われるようになりました。八王子クリニックでは2003年から冠動脈CT検査に取り組み、長年にわたり撮影技術の向上に努めています。
冠動脈MRI検査
1.5テスラMRIを使用し、冠動脈の評価を行います。CTと比較して造影剤を使用しないで撮影が可能である事が最大の特徴です。造影剤のアレルギーや喘息などで、従来の冠動脈CTで検査が行えなかった方も、冠動脈の評価が行えるようになりました。
※撮影時に不整脈や呼吸停止が一定でない場合には、冠動脈の評価が困難になる事があります。
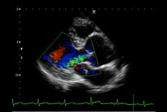
超音波検査(エコー検査)
超音波検査で心臓の動きや機能を観察します。心筋梗塞や心臓弁膜症など心不全の評価に非常に有効です。
心臓の形の異常を発見する形態的診断や、心臓の働きや機能を見る機能的診断があり、総合的に心臓を評価します。心臓は常に拍動していますが、動いている状態をそのまま観察出来る、とても有用な検査です。脳梗塞などの原因となる不整脈に伴う心房内血栓の発見などにも、非常に有効です。
心電図検査、及び24時間解析型心電図検査(ホルター心電図)
心電図検査は、不整脈や心筋梗塞、心肥大などが評価出来ます。
しかし検査時よりは自宅などで胸痛など自覚症状が出現する事も多くあります。不整脈や胸痛などは夜間・朝方に多く発生する事が知られており、その場合は24時間解析型のホルター心電図で検査を行います。心電図を持続的に記録してこれを解析する事で、自宅での胸部症状の評価に有効です。不整脈は脳梗塞などの合併症も引き起こしやすく、詳細な評価が重要です。
診療時間
| 診療受付 | 月 | 火 | 水 | 木 | 金 | 土 | 日 | 祝 |
|---|---|---|---|---|---|---|---|---|
| 9時〜11時45分 | ![]() |
![]() |
![]() |
![]() |
![]() |
![]() |
![]() |
![]() |
| 14時〜17時30分 | ![]() |
![]() |
![]() |
![]() |
![]() |
![]() |
![]() |
![]() |
※ 第3土曜日は休診
診療日のご案内
は休診日

